试管第三代包成功_试管选性别_试管双胞胎 - 亚当国际生殖助孕中心

让每个家庭拥有自己的孩子

做中国辅助生殖引导品牌专业高效安全贴心

服务热线: 18565160333

罕见妊娠期并发症:婴儿腿把母亲的子宫壁戳了

人气:发表时间:2017-11-18
精诚代怀孕患者在怀孕第22周去医院做例行检查的时候发现,子宫壁出现了一个洞,通过这个洞胎儿的腿和大量保护性的羊水都漏了出来。这是一例非常罕见的妊娠期并发症。
 
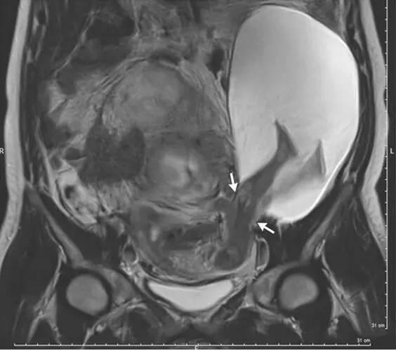
如果你对女性妊娠期身体内发生的变化并不熟悉,上面的图片对你来说可能就不是那么不太一样,但是对法国昂热大学医院的医生来说,这是他们之前从来没有观察到过的现象。
因为这是一例极端不正常的妊娠期并发症,在这个并发症中,患者的子宫壁出现了一个洞,通过这个洞胎儿的腿和大量保护性的羊水都漏了出来。
这件事发生在一名33岁的女性身上,她是在怀孕第22周去医院做的超声波例行检查。在那以前她并没有检查出有任何不正常的并发症,预估这次检查也将是简单的例行“公事”。
但是这次却发现,在羊膜囊----妊娠期包裹胎儿的一层保护性的膜----中有一个大的突起。
超声波检查显示19×12×9cm的羊膜囊(7.5×4.7×3.5英尺)的一部分通过子宫左壁的一个洞下滑了,胎儿的腿也处于膝盖稍微偏上的位置。MRI扫描显示子宫壁的裂隙扩大到了2.5cm(1英尺)(图中箭头所示)。
妇产科医师Pierre-Emmanuel Bouet在《Live Science》上对Sara G. Miller说,这种极端罕见的现象是医院里的医务人员从来没有遇见过的。

精诚代怀孕医生对患者建议,这个突出的羊膜囊可能会随着妊娠期的发展引起潜在的严重并发症,包括完全子宫破裂或者早产。
但是患者和她的丈夫还是决定尽可能继续妊娠,并密切监控并发症的进展。
Bouet说,最有可能导致破裂的原因是这名患者早期接受过剖腹产术,而且这次妊娠是患者的第6次妊娠,她之前的5个孩子也都是通过剖腹产出生的。
虽然这些剖腹产切口的组织已经愈合并牢固了,但是子宫切口周围的区域也已经变得很薄弱,这才导致了这次破裂的发生。
圣塔莫尼卡普罗维登斯圣约翰医疗中心的医生Yvonne Bohn认为,多次剖腹产的确会伴随着风险,但并不是都是这样的。
“这是极其罕见的。通常子宫破裂都是发生在分娩阶段的,但是在这个病例中子宫壁由于之前做过剖腹产现在已经非常薄弱了。”她在《Parents》上对Melissa Willets说。
“子宫破裂的风险随着每次剖腹产呈指数级增长,”Bohn说,他解释道在3到4次剖腹产之后子宫破裂就可能成为一个问题。
而幸运的是,之后这名患者的子宫破裂并没有导致婴儿死亡。
在MRI检测2个月之后,也就是怀孕第30周,另一项超声波检查显示这个裂隙的长度已经增加了一倍,到了5cm(2英尺),结果是更多的羊膜囊通过这个缝隙滑了出去,胎儿的身体进去的也更多了,患者的腹部也凸了出来。
之后决定对患者做早期剖腹产,在妊娠30周的时候,一个重达1.385公斤(3磅)的健康男婴诞生了。
患者分娩之后,就对她的子宫壁和突出的羊膜囊进行了治疗,然后患者只住院5天就出院了。
 
6个月以后,患者和小孩都表现得很健康,所以即使之前有潜在的危险状况,现在都已经很好地解决了。
现在医生也把这种不寻常的病例写下来,希望将来可以帮助其他医务人员更清楚地了解这种罕见的疾病类型。
 

返回顶部